Przejdź do treści
Mojachoroba.pl
Menu
Search
Search
Main navigation
Galeria zdjęć chorób skórnych
Choroby dziecięce
Choroby przenoszone drogą płciową
Search
Search
Ścieżka nawigacyjna
Strona główna
Jama ustna
Jama ustna zdjęcia chorób. Zmiany skórne Jama ustna ZDJĘCIA
CHOROBA:
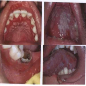
Grzybica jamy ustnej
Zobacz galerię zdjęć:
Grzybica w jamie ustnej
CHOROBA:
Grzybica jamy ustnej
Zobacz galerię zdjęć:
Grzybica w jamie ustnej
CHOROBA:
Grzybica jamy ustnej
Zobacz galerię zdjęć:
Grzybica w jamie ustnej
CHOROBA:
Grzybica jamy ustnej
Zobacz galerię zdjęć:
Grzybica w jamie ustnej
CHOROBA:
Grzybica jamy ustnej
Zobacz galerię zdjęć:
Grzybica w jamie ustnej
CHOROBA:
Grzybica jamy ustnej
Zobacz galerię zdjęć:
Grzybica w jamie ustnej
Stronicowanie
Pierwsza strona
Poprzednia strona
…
Page
8
Bieżąca strona
9
Page
10
…
Następna strona
Ostatnia strona
Zobacz zdjęcia chorób występujących na
Brzuch
Dłonie
Głowa
Jama ustna
Język
Klatka piersiowa
Miejsca intymne u kobiet
Miejsca intymne u mężczyzn
Moszna, worek mosznowy
Nogi
Odbyt
Pachwina
Paznokcie
Piersi
Plecy
Pośladki
Powieka, oko
Prącie / penis
Ręce
Skóra
Stopy
Szyja
Twarz
Ucho
Usta
Wargi sromowe
Galeria zdjęć chorób skórnych
Choroby dziecięce
Choroby przenoszone drogą płciową