Przejdź do treści
Mojachoroba.pl

Main navigation

  • Galeria zdjęć chorób skórnych
  • Choroby dziecięce
  • Choroby przenoszone drogą płciową

Ścieżka nawigacyjna

  1. Strona główna

Bostonka

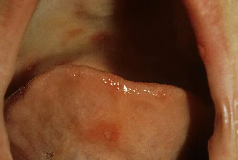
Choroba jamy ustnej zdjęcia bostonka

Choroba jamy ustnej zdjęcia

Jama ustna choroba bostonka

jama ustna choroba bostonka

Zmiany skórne na palcach bostonka

Zmiany skórne na palcach bostonka

Zmiany skórne pojawiające się w przebiegu bostonki

Zmiany skórne pojawiające się w przebiegu bostonki

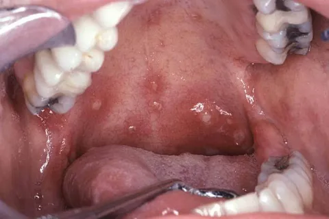
Choroba bostonka owrzodzenie jamy ustnej

Choroba bostonka owrzodzenie jamy ustnej

Owrzodzenie jamy ustnej bostonka

owrzodzenie jamy ustnej

Wysypka pęcherzykowata na dłoniach

Wysypka pęcherzykowata na dłoniach

Wysypka pęcherzykowata na stopach bostonka

Wysypka pęcherzykowata na stopach

Choroba bostońska u dorosłych

Choroba bostońska u dorosłych

Choroba bostońska

Choroba bostońska

Stronicowanie

  • Poprzednia strona
  • 2
  • Następna strona

Zobacz zdjęcia chorób występujących na

Brzuch
Dłonie
Głowa
Jama ustna
Język
Klatka piersiowa
Miejsca intymne u kobiet
Miejsca intymne u mężczyzn
Moszna, worek mosznowy
Nogi
Odbyt
Pachwina
Paznokcie
Piersi
Plecy
Pośladki
Powieka, oko
Prącie / penis
Ręce
Skóra
Stopy
Szyja
Twarz
Ucho
Usta
Wargi sromowe
DECYZJE O LECZENIU MUSZĄ BYĆ PODEJMOWANE W POROZUMIENIU Z LEKARZEM. INFORMACJE ZAWARTE W PORTALU, PRZEZNACZONE SĄ TYLKO DO CELÓW ORIENTACYJNYCH I INFORMACYJNYCH. NAJNOWSZE INFORMACJE OD PRODUCENTÓW LEKÓW, ZNAJDUJĄ SIĘ W ULOTCE DOŁĄCZONEJ DO OPAKOWANIA. PAMIĘTAJCIE ŻADEN SERWIS INTERNETOWY LUB PORTAL NIGDY NIE ZASTĄPI WIZYTY U LEKARZA I KONSULTACJI ZE SPECJALISTĄ. W PRZYPADKU JAKICHKOLWIEK WĄTPLIWOŚCI W ZAKRESIE STOSOWANIA LEKU, SKONSULTUJ SIĘ Z LEKARZEM LUB FARMACEUTĄ. INFORMACJE ZAMIESZCZONE W SERWISIE NIE MOGĄ STANOWIĆ PODSTAWY DO PODEJMOWANIA DECYZJI O PRZEBIEGU LECZENIA. PORTAL WWW.MOJACHOROBA.PL  JEST ZBIOREM PRZYDATNYCH INFORMACJI ORAZ OPINII NA TEMAT CHORÓB RÓŻNEGO RODZAJU SCHORZEŃ I BÓLI RÓŻNEGO RODZAJU JAK RÓWNIEŻ OPINII I INFORMACJI NA TEMAT STOSOWANIA LEKÓW, SUPLEMENTÓW DIETY, WYROBÓW MEDYCZNYCH. WITRYNA MOŻE ZAWIERAĆ TREŚCI, ZDJĘCIA KTÓRYCH PRZEGLĄDANIE JEST ZABRONIONE PRZEZ OSOBY PONIŻEJ 18 ROKU ŻYCIA. MATERIAŁY ZNAJDUJĄCE SIĘ NA TYM PORTALU MEDYCZNYM, ZOSTAŁY ZACZERPNIĘTE Z INTERNETU  ALBO ZOSTAŁY WYSŁANE DO NAS PRZEZ UŻYTKOWNIKÓW. WSZYSTKIE MATERIAŁY SĄ DOSTARCZANE WYŁĄCZNIE W CELACH INFORMACYJNYCH, PRAWA DO MATERIAŁÓW NALEŻĄ DO ICH AUTORÓW I WYDAWCÓW. JEŻELI KTÓRYKOLWIEK  OBRAZ ( ZDJĘCIE, ZDJĘCIA ) JEST OBRAŹLIWY  LUB POSIADA  PRAWA AUTORSKIE, PROSIMY O WIADOMOŚCI E-MAIL KONTAKT ABY USUNĄĆ OBRAZ LUB TREŚĆ. ZMIEŃ COŚ W NASZYM INTERNECIE NA JESZCZE LEPSZE! JESTEŚMY BARDZO ZAINTERESOWANI POZNANIEM, W JAKI SPOSÓB KORZYSTASZ ZE STRON INTERNETOWYCH W TYM SERWISIE. JEŻELI SIĘ NA TO ZGODZISZ, ZACHOWAMY NA TWOIM KOMPUTERZE TZW. PLIK COOKIE, KTÓRY UMOŻLIWI ZBIERANIE PODSTAWOWYCH INFORMACJI O KLIKANIU Z TWOJEGO KOMPUTERA. JEŻELI SIĘ NA TO NIE ZGADZASZ, MOŻESZ W KAŻDEJ CHWILI ZMIENIĆ USTAWIENIA SWOJEJ PRZEGLĄDARKI. PRZECZYTAJ, JAK WYŁĄCZYĆ PLIKI COOKIE I NIE TYLKO PZRZECZYTAJ  POLITYKA PRYWATNOŚCI
  • Galeria zdjęć chorób skórnych
  • Choroby dziecięce
  • Choroby przenoszone drogą płciową