Erozja szkliwa zębów

Aktualizacja:
erozja szkliwa zębów, nadżerka zębów

 

Erozja szkliwa zębów inaczej zwana nadżerka zębów to nie próchnicowa choroba zębów typu niszczącego, charakteryzująca się pojawieniem się ubytku w tkance twardej. Choroba ta ma długi przewlekły przebieg i tendencję do postępu.

Erozja szkliwa zębów wiąże się głównie z naruszeniem metabolizmu minerałów. Podczas badania mikroskopowego dotkniętego obszaru szkliwa stwierdza się zniszczenie struktur krystalicznych tkanek, okazują się one luźne.

Pojawienie się nadżerki ubytki nie próchnicowe  mogą zniszczyć estetyczny wygląd zębów, pojawiają się na nich matowe plamy o owalnych, zaokrąglonych kształtach, które miejscowo zmieniają odcień szkliwa. Zasadniczo zmiany są tworzone symetrycznie w okolicy czołowej lub policzkowej siekaczy, przedtrzonowców i kłów. Najczęściej choroba objawia się w górnej szczęce.

Długotrwałe istnienie erozji szkliwa może prowadzić do głębokiego i szerokiego rozprzestrzeniania się choroby, może powodować zniszczenie zębiny, kruchość strukturalną zębów, ich ścieranie i odpryskiwanie. Erozja szkliwa zębów występuje u dzieci, dorosłych, głównie u młodych kobiet w średnim wieku między 30 a 35 rokiem życia. Nadżerka zębów to nie tylko wada estetyczna, ale także poważny problem stomatologiczny, który wymaga natychmiastowego leczenia.

 

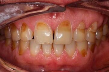
Erozja szkliwa zębów zdjęcie jak wygląda:

Erozja szkliwa zębów
Erozja szkliwa zębów

 

Erozja szkliwa zębów może być spowodowana następującymi czynnikami:

  • Regularne spożywanie wody gazowanej i innych napojów. Wskazane jest ostrożne picie takich napojów, aby nie dotykały zębów.

  • Uszkodzenia mechaniczne, które mogą wystąpić w wyniku analfabetyzmu, chorób przewodu pokarmowego, niewłaściwie dobranej pasty do zębów, regularnego wybielania.

  • Przyczyną erozji szkliwa może być choroba tarczycy lub pewne zaburzenia związane z układem hormonalnym.

  • Zwiększone obciążenie uzębienia, które występuje z powodu niewłaściwego żucia pokarmu, wad zgryzu, braku jednostek. W takich przypadkach obciążenie zębów rozkłada się nierównomiernie i powoduje różnego rodzaju dolegliwości. Nieprawidłowo zainstalowany implant może również powodować choroby. Ponieważ w tym przypadku szkliwo na naturalnych zębach jest usuwane znacznie szybciej.

  • Przyjmowanie niektórych leków, które agresywnie wpływają na szkliwo.

  • Chemiczne przyczyny wystąpienia choroby to duża konsumpcja przez pacjenta kwaśnych pokarmów.

  • Przyczyny mechaniczne polegają głównie na dużym zużyciu materiału ściernego do czyszczenia zębów. Jeśli myjesz zęby przez cały czas proszkiem do zębów, z czasem rozwija się erozja szkliwa.

 

Nadżerka zębów jest szczególnie częstym problemem wśród osób pracujących przy produkcji w dość trudnych warunkach. Na przykład, jeśli pacjent stale pracuje w warsztacie, w którym ma do czynienia z pyłem metalowym. Dostając się na zęby, takie zanieczyszczenia poważnie je uszkadzają.

 

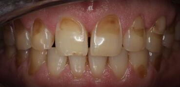
Nadżerka zębów zdjęcie jak wygląda:

Nadżerka zębów
Nadżerka zębów

 

W zależności od głębokości ubytku wyróżnia się 3 stopnie erozji szkliwa zębów:

  • I stopień (powierzchowny, początkowy) - z uszkodzeniem tylko górnej warstwy szkliwa

  • II stopień (średni) - z uszkodzeniem szkliwa na całej głębokości do granicy szkliwno-zębinowej

  • III stopień (głęboki) - z uszkodzeniem całego szkliwa i górnej warstwy zębiny.

 

Erozja szkliwa zębów objawy

We wczesnych stadiach erozja szkliwa zębów wygląda jak lekkie matowienie szkliwa zębów. W zmianach szkliwo ulega demineralizacji, w wyniku czego traci swój własny odcień i blask, stając się ciemniejsze. Jeśli nalewka jodowa zostanie nałożona na wyblakłe miejsca, dotknięty obszar zmieni kolor na brązowy.

W późniejszych stadiach rozwoju nadżerki zębów pojawia się ból, ząb może reagować na każdy bodziec termiczny lub chemiczny za pomocą bólu. Na powierzchni szkliwa widoczne są małe owalne lub zaokrąglone zagłębienia o płaskiej podstawie.

 

=>>  Choroby jamy ustnej zdjęcia 

 

W początkowej fazie erozji szkliwa zęba, o ustabilizowanym przebiegu, nie ma doznań bólowych. W fazie aktywnej, o średnim i głębokim stopniu, podczas mycia zębów obserwuje się przeczulicę, działanie bodźców chemicznych i termicznych. Erozja szkliwa zębów dotyczy przede wszystkim symetrycznych powierzchni siekaczy środkowych i bocznych górnej szczęki, a także kłów, małych zębów trzonowych obu szczęk. Erozja szkliwa zębów jest często łączona z chorobliwym ścieraniem twardych tkanek zęba. Przebieg erozji zębów jest przewlekły, postępujący, charakteryzujący się stopniowym uszkodzeniem nowych zębów.

 

Erozja szkliwa zębów rozpoznanie

Erozja szkliwa zębów jest diagnozowana podczas badania stomatologicznego. Wyraźniejszą lokalizację ubytku ułatwia osuszenie powierzchni korony zęba, próba jodowa. Erozja zęba wymaga różnicowania z ubytkami klinowatymi, hipoplazją szkliwa, próchnicą powierzchniową .

Aby zidentyfikować współistniejące zaburzenia endokrynologiczne, pacjenci cierpiący na nadżerkę zębów mogą potrzebować konsultacji z endokrynologiem , wykonania USG tarczycy , badania hormonów tarczycy. 

 

Erozja szkliwa zębów leczenie

Erozja szkliwa zębów jest leczona przez długi czas, leczenie jest trudne. Przed rozpoczęciem leczenia diagnozuje się etap rozwoju choroby, na podstawie czego i przepisuje się leczenie.

W początkowej fazie leczenia prowadzona jest terapia remineralizująca, polegająca na pokryciu szkliwa preparatami zawierającymi wapń i fluor. Terapia odbywa się w cyklu, średnio od dziesięciu do piętnastu sesji. Następnie eliminuje się pigmentację uszkodzonego obszaru.

 

Przy bardziej zaawansowanej formie nadżerki zębów po terapii remineralizującej i usunięciu pigmentu, uszkodzony obszar zostaje uszczelniony. Jeśli proces destrukcyjny dotarł już do zębiny, może rozwinąć się próchnica. Zaniedbywaną postać erozji szkliwa zębów i powstawanie głębokich zmian niweluje się licówkami lub koronami. 

 

Erozja szkliwa zębów zapobieganie

Aby chronić zęby, zaleca się zaprzestanie spożywania pokarmów kwaśnych. Ponadto nie należy jeść zbyt gorących lub zimnych potraw. Faktem jest, że gwałtowny spadek temperatury może wywołać powstawanie pęknięć w szkliwie. Po jedzeniu należy dokładnie wypłukać usta specjalnym płynem do płukania lub zwykłą czystą wodą. Pozwoli to zneutralizować negatywny wpływ większości produktów na szkliwo zębów.

 

ICD 10 Erozja szkliwa zębów, nadżerka zębów

Klasyfikacja ICD-10: K03.2 - Nadżerka zębów

wywołana przez:
- dietę
- przyjmowanie leków
- nawykowe wymioty
- samoistna
- zawodowa

 

Katalog chorób: Choroby zębów i jamy ustnej