Przewlekłe zapalenie miazgi objawy leczenie

Przewlekłe zapalenie miazgi
Choroba

 

Przewlekłe zapalenie miazgi to stan zapalny miazgi zębowej lub pęczka nerwowo-naczyniowego, prowadzący do zmian włóknistych, rozrostowych i zgorzelinowych, który utrzymuje się przez dłuższy czas.

Zapalenie miazgi to stan zapalny wewnętrznych tkanek zęba (miazgi), przez które przechodzą naczynia krwionośne i nerwy, zapewniając żywotność zęba. Zapalenie może sprawić, że ząb stanie się martwy i wywołać stan zapalny otaczających tkanek. Początek zapalenia miazgi jest trudny do przeoczenia, gdyż charakteryzuje się silnym bólem. Najczęściej zapalenie miazgi jest powikłaniem próchnicy dotyczącej danego zęba lub zębów sąsiednich. Bardzo rzadko zapalenie miazgi może być wynikiem niewłaściwego leczenia stomatologicznego.

Postępujący ubytek próchnicowy prowadzi do penetracji resztek pokarmowych i mikroorganizmów do miazgi zębowej, co skutkuje jej zapaleniem (zapalenie miazgi). Jest to najczęstszy sposób wystąpienia choroby. Istnieją również inne, mniej powszechne rodzaje zapalenia miazgi. Próchnicowy ząb może zainfekować miazgę sąsiedniego zęba poprzez układ krążenia, prowadząc do rozwoju wstecznego zapalenia miazgi.

Zapalenie miazgi urazowe występuje w wyniku mechanicznego uszkodzenia zęba, takiego jak pęknięcie, odprysk lub złamanie. Jeśli miazga zostaje zastąpiona przez nadmiernie nagromadzone złogi związków mineralnych, może się rozwinąć zapalenie miazgi. Wreszcie, zapalenie miazgi może być spowodowane nieodpowiednim leczeniem stomatologicznym, na przykład przypadkowym otwarciem miazgi lub stosowaniem materiałów niskiej jakości.

Bez względu na sposób, w jaki infekcja dostała się do miazgi, konieczne jest natychmiastowe rozpoczęcie leczenia stanu zapalnego. Ryzyko rozwoju zapalenia miazgi wzrasta, jeśli pacjent cierpi na osteoporozę lub cukrzycę lub nie zwraca wystarczającej uwagi na higienę jamy ustnej.

Przewlekłe zapalenie miazgi nie wykazuje szczególnego związku z wiekiem pacjentów, występuje zarówno u młodych, jak i starszych osób. U dzieci można również zaobserwować przewlekłe zapalenie miazgi w postaci pierwotnej z nieuformowanymi korzeniami. Przewlekłe stadium zapalenia miazgi jest znacznie częstsze niż ostre, stanowi około 75 na 100 przypadków.

Klasyfikacja przewlekłego zapalenia miazgi obejmuje trzy główne formy tej choroby, występujące w stomatologii: odmiana włóknista, zgorzelinowa, przerostowa. Szczególną uwagę zwraca się na zaostrzenie przewlekłego zapalenia miazgi.

Przewlekłe włókniste zapalenie miazgi

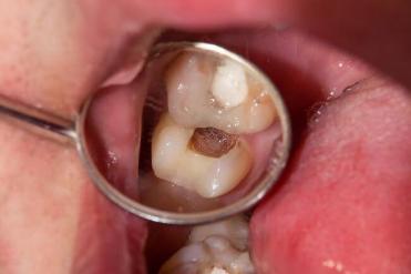
Forma włóknista jest najczęstsza, stanowi około 69% wszystkich przypadków. Miazga przekształca się wówczas w dość gęstą, bliznowatą strukturę o szarawym kolorze, na skutek aktywnego wzrostu grubej włóknistej tkanki łącznej. Stwierdza się również ogniska zwapnień i hialinozy. W przypadku braku leczenia może dojść do zgorzeli, ropni czy mikroropni. Przewlekłe włókniste zapalenie miazgi zdjęcie

Przewlekłe włókniste zapalenie miazgi
Przewlekłe włókniste zapalenie miazgi

Przewlekłe przerostowe zapalenie miazgi

Typ przerostowy przewlekłego zapalenia miazgi jest niezwykle rzadki (0,5 na 100 przypadków) i charakteryzuje się podziałem na formy ziarniste i polipowate. Polip miazgi zęba (przewlekłe przerostowe zapalenie miazgi) objawia się spuchniętą różową tkanką, która rośnie wewnątrz jamy ustnej. W przypadku formy ziarnistej zębinę zastępuje osteodentyna, a tworzy się również tkanka ziarninowa, która wpływa na próchnicę. W formie polipowatej powstaje polip o wyglądzie grzyba z wrzodziejącą powierzchnią. Przewlekłe przerostowe zapalenie miazgi zdjęcie

Przewlekłe przerostowe zapalenie miazgi
Przewlekłe przerostowe zapalenie miazgi

Przewlekłe zgorzelinowe zapalenie miazgi

Ta forma choroby dotyka tylko 2 pacjentów na 100 i charakteryzuje się zmianami wrzodziejącymi lub martwiczymi miazgi. Podczas opracowywania jamy zęba można wykryć ciemne resztki tkanki. W wielu przypadkach możliwe jest zachowanie zdrowej części miazgi. Przewlekłe zgorzelinowe zapalenie miazgi zdjęcie

Przewlekłe zgorzelinowe zapalenie miazgi
Przewlekłe zgorzelinowe zapalenie miazgi

Zaostrzenie przewlekłego zapalenia miazgi może prowadzić do gangreny, dlatego ważne jest podjęcie wszelkich możliwych działań w celu jej zapobiegania.

Przyczyny rozwoju przewlekłego zapalenia miazgi

Przewlekłe zapalenie miazgi może rozwijać się, jako odrębna choroba na tle infekcji w jamie ustnej lub jako wynik innych chorób. Kluczowe jest zdiagnozowanie choroby na wczesnym etapie, zanim stanie się przewlekła, aby umożliwić skuteczne leczenie i jak największe uratowanie chorego zęba.

Przyczynami rozwoju przewlekłego zapalenia miazgi są:

  • Głęboka próchnica lub niewłaściwe leczenie;

  • Urazy zębów prowadzące do odsłonięcia miazgi;

  • Chorobowe ścieranie koron zębowych.

Infekcja przenika do aparatu nerwowego na jeden z następujących sposobów:

  • Przez otwór w wierzchołku korzenia, wstecznie;

  • Z krwią przez naczynia w ozębnej, hematogennie;

  • Z jamy zęba dotkniętej próchnicą.

W niektórych przypadkach choroby laryngologiczne mogą być przyczyną rozwoju przewlekłego zapalenia miazgi w szczęce górnej, ze względu na anatomiczną bliskość korzeni 1-2 zębów trzonowych do zatoki szczękowej.

 

Przewlekłe zapalenie miazgi objawy

Objawy przewlekłego zapalenia miazgi różnią się w zależności od jego rodzaju. Oto podsumowanie objawów dla poszczególnych form przewlekłego zapalenia miazgi:

Włókniste przewlekłe zapalenie miazgi:

  • Często bezobjawowe.

  • Słaby dyskomfort pod wpływem ciepła (np. gorąca herbata) lub zimna (np. zimne lody).

  • Wrażliwość na opukiwanie zęba.

  • Brak istotnych zmian w tkance kostnej na zdjęciu rentgenowskim.

Zgorzelinowe i przerostowe przewlekłe zapalenie miazgi:

  • Okresowo występujący silny ból.

  • Wrażliwość zęba na wysokie temperatury, zimno może łagodzić ból.

  • Trudności w żuciu i gryzieniu jedzenia.

W przypadku zaostrzenia przewlekłego zapalenia miazgi występują dodatkowe objawy:

  • Napadowy ból zęba o charakterze spontanicznym.

  • Silny lub bolesny długotrwały ból pod wpływem bodźców zewnętrznych.

  • Zmniejszona pobudliwość elektryczna miazgi.

  • Rozrzedzenie tkanki kostnej w strefie okołowierzchołkowej.

  • Poszerzenie szczeliny przyzębnej.

W przypadku nieodpowiedniego leczenia kanałowego, braku odpowiedniego leczenia lub nieszczelnej obturacji, przewlekłe zapalenie miazgi może przekształcić się w zapalenie przyzębia. Aby uniknąć powikłań, ważne jest szybkie i właściwe leczenie zapalenia miazgi. Regularne wizyty u dentysty i dbanie o higienę jamy ustnej pomagają wykryć i leczyć problemy na wczesnym etapie.

 

Przewlekłe zapalenie miazgi rozpoznanie

Wstępne badanie nie daje pełnego obrazu postaci i stopnia zaawansowania choroby. Dla postawienia właściwej diagnozy konieczne jest wykonanie termometrii oraz zdjęcia rentgenowskiego lub ortopantomogramu, które pozwolą dokładnie ocenić sytuację.

Termometria polega na analizie reakcji zęba na bodźce termiczne. Żywy nerw na zimno reaguje bólem, co ma znaczenie dla wyboru metody leczenia. Na podstawie tych danych lekarz dobiera odpowiednią metodę leczenia.

 

Przewlekłe zapalenie miazgi leczenie

Chirurgiczna metoda leczenia przewlekłego zapalenia miazgi jest jedną z najbardziej efektywnych. Cechy terapii najlepiej rozważyć na podstawie postaci choroby:

Włókniste zapalenie miazgi: Metoda polega na usunięciu zbitej i zmienionej chorobowo tkanki miazgi. Złożony obraz kliniczny wymaga jej całkowitej eliminacji. Operacja wykonywana jest w znieczuleniu miejscowym i obejmuje następujące etapy:

  • Otwarcie i oczyszczenie próchnicy z dotkniętych tkanek;

  • Leczenie preparatami antyseptycznymi;

  • Likwidacja przegrody oddzielającej miazgę od jamy zębowej;

  • Resekcja strefy koronowej miazgi;

  • Usuwanie z rozszerzonych kanałów korzeniowych miazgi uszkodzonej przez włóknienie;

  • Nawadnianie obszaru problemowego lekami przeciwzapalnymi;

  • Przygotowanie i montaż wypełnień tymczasowych.

Przerostowe zapalenie miazgi: Technika leczenia w tym przypadku jest uzależniona od stopnia uszkodzenia miazgi. Możliwe jest jej całkowite usunięcie lub wycięcie części dotkniętej granulacją. Przy zaawansowanej chorobie dopuszczalne jest stosowanie znieczulenia ogólnego. Szczególną uwagę zwraca się na oczyszczenie i wypełnienie kanałów.

Zgorzelinowe  zapalenie miazgi: Ta złożona postać przewlekłego zapalenia miazgi wymaga wysoce wykwalifikowanej opieki. Główne etapy leczenia to:

  • Znieczulenie zęba i dziąseł;

  • Otwarcie i oczyszczenie próchnicy;

  • Usunięcie koronowej części miazgi;

  • Rozszerzenie kanałów koronowych;

  • Całkowite usunięcie zapalnej miazgi;

  • Kauteryzacja elektrokoagulacją leczonego obszaru;

  • Suszenie ubytków;

  • Nałożenie opatrunku antyseptycznego;

  • Wypełnienie kanału.

 

Przewlekłe zapalenie miazgi zapobieganie rokowanie

Właściwe i terminowe leczenie pozwala uratować ząb, jako funkcjonujący element na długie lata. Przewlekłe zapalenie miazgi może prowadzić do rozwoju powikłań zębopochodnych, takich jak paradontoza, ropne zapalenie okostnej czy zapalenie kości i szpiku, które mogą mieć poważne i czasem nieprzewidywalne konsekwencje.

Najskuteczniejszym sposobem zapobiegania przewlekłemu zapaleniu miazgi jest profilaktyka i terminowe leczenie próchnicy u dzieci i dorosłych. Nie należy również ignorować bólu zęba, który pojawił się po raz pierwszy, gdyż może wskazywać na ostre zapalenie miazgi. Regularne wizyty u dentysty, badania profilaktyczne oraz profesjonalna higiena jamy ustnej pomogą zapobiegać rozwojowi przewlekłego zapalenia miazgi.