Egzostoza kości szczęki objawy leczenie

Egzostoza kości szczęki, guzek narośl jama ustna
Choroba

 

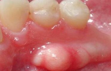
Egzostoza kości szczęki to łagodny guzek, który objawia się w postaci wyrostka kostno-chrzęstnego (osteofit), który tworzy się na powierzchni kości. Egzostoza to określenie guzów i narośli kostnych, które tworzą się na jej powierzchni. Osteofity to zmiany określane, jako dzioby lub narośla kostne, których cechą charakterystyczną jest miejscowa dobudowa tkanki kostnej. Guzy mają charakter zarówno pojedynczy, jak i wielokrotny i mogą być rozmieszczone w różnych częściach tkanki kostnej, w tym w kościach szczęki. Należy zauważyć, że w przeważającej większości przypadków osteofity szczęki znajdują się na zewnętrznej (policzkowej) powierzchni wyrostka zębodołowego, a osteofity żuchwy zlokalizowane są po wewnętrznej (językowej) stronie. Nieco rzadziej występuje wał podniebienny, który jest wyrostkiem w okolicy szwu podniebiennego pośrodkowego.

W początkowej fazie rozwoju egzostoza nie powoduje dyskomfortu. Jednak wraz ze wzrostem objętości guza zaczyna powodować niedogodności. Na przykład choroba może utrudniać jedzenie, niekorzystnie wpływać na dykcję itp. Ponadto obecność wielu lub pojedynczych dużych osteofitów może stać się przeszkodą w protetyce. I wreszcie, wraz ze wzrostem objętości, wyrostek kostno-chrzęstny zaczyna wywierać nacisk na zęby, co prowadzi do ich przemieszczenia i chorobowych zmian w zgryzie.

Egzostozy kości szczęki często występuje w wyniku operacji usunięcia zębów. Jeżeli po usunięciu nie doszło do prawidłowego wygładzenia otworu, a wycięcie (całkowite usunięcie zęba) było traumatyczne i trudne, w efekcie mogą powstać wypustki kostne-ciernie. Inne przyczyny przerostu to uraz, niewspółosiowość uszkodzonych fragmentów szczęki i stare, wadliwe złamania.

Rozrost tkanki kostnej jest zwykle wykrywany przed protetyką, kiedy konieczna jest ocena plastyczności błony śluzowej oraz określenie stopnia zaniku tkanki kostnej. 

Pacjent z egzostozą kości szczęki swobodnie otwiera żuchwę i nie skarży się na dyskomfort. Błona śluzowa nad osteofitem ma zwykle bladoróżowy kolor. Zwykle nie ma zmian chorobotwórczych, błona śluzowa pozostaje ruchoma.

 

Egzostozy kości szczęki objawy

Egzostozy kości szczęk pojawiają się w postaci wypukłego wyrostka, guzka, narośli, które pojawił się bez wyraźnego powodu.

 

Guzek na podniebieniu wyczuwalny językiem zdjęcie:

guzek na podniebieniu wyczuwalny językiem
Guzek na podniebieniu 

 

Główne objawy egzostozy kości szczęk:

  • Uczucie ciała obcego w ustach;

  • Niedogodności podczas jedzenia, mówienia (z dużymi osteofitami);

  • Ból podczas naciskania na nowotwór;

  • Zaczerwienienie, ścieńczenie błony śluzowej w strefie zmian;

  • Jeśli chorobowe guzki kości są zlokalizowane w obszarze „ósemek”, mogą powodować problemy z szerokim otwarciem ust.

  • Zmienia się owal twarzy.

Niewielką anomalię można wykryć tylko podczas badania przez dentystę, ponieważ wizualnie nie objawia się w żaden sposób.

 

Egzostozy kości szczęki rozpoznanie

Jeśli występują wizualne objawy egzostozy kości szczęki, lekarz przepisuje pacjentowi środki diagnostyczne w celu potwierdzenia choroby i odróżnienia łagodnego wzrostu kości od procesów nowotworowych. W tym celu osoba wysyłana jest na:

  • RTG - po otrzymaniu zdjęcia dentysta dokładnie widzi wielkość formacji, jej lokalizację, a także obecność kontaktu z korzeniami sąsiednich zębów, co może prowadzić do uszkodzeń.

  • Biopsja i cytologia tkanek – na podstawie przeprowadzonych badań możemy jednoznacznie stwierdzić, czy narośle kostne są osteofitami, a pacjent ma egzostozę, czy jest to proces nowotworowy.

 

Egzostozy kości szczęki leczenie

Chirurgiczne wycięcie wzrostu - guza kości jest jedynym skutecznym sposobem leczenia egzostozy. Zabieg wykonywany jest w znieczuleniu miejscowym, dzięki czemu pacjent nie odczuwa dyskomfortu. Należy powiedzieć, że istnieją dwie techniki wykonywania operacji. Wybór konkretnej techniki zależy od lokalizacji osteofitu:

  • Usunięcie torusa podniebiennego. W tym przypadku lekarz wykonuje małe nacięcie liniowe, a także dwa nacięcia przeczyszczające - z przodu iz tyłu. Następnie dentysta złuszcza błonę śluzową i usuwa osteofit. Ekstrakcja może być przeprowadzona, jako pojedynczy blok lub pofragmentowana. Następnie wykonuje się wygładzenie tkanki kostnej, a następnie zakładanie szwów przerywanych.

  • Usunięcie osteofitów wyrostka zębodołowego. Procedura wykonywania manipulacji nie różni się od wcześniej rozważanej techniki. Główna różnica polega na konfiguracji nacięcia – w tym przypadku ma ono kształt trapezu. W przeciwnym razie leczenie operacyjne osteofitów górnych i żuchwowych przebiega w taki sam sposób, jak usunięcie torusa podniebiennego.

 

Egzostozy kości szczęki zapobieganie, rokowanie

Jeśli chodzi o profilaktykę, nie ma konkretnych środków zapobiegających tej chorobie. Jedyne, co można doradzić, to regularne, co najmniej dwa razy w roku, wizyty u dentysty na badania.

Prognozy dotyczące leczenia egzostozy kości szczęki są korzystne. Po wyeliminowaniu czynników etiologicznych i chirurgicznym usunięciu osteofitów powstają dogodne warunki do dalszej protetyki.